小さな膵がんは、内視鏡で見つかる時代になっていますか?
「膵がんは見つかった時には手遅れになりやすい病気」
そのような印象をお持ちの方も多いかもしれません。確かに膵臓は、胃や大腸のさらに奥、背中側に位置するため直接観察が難しく、小さな膵がんを見つけることは長年困難とされてきました。
しかし近年、日本膵臓学会や国内の多施設共同研究により、膵がんが1cm以内で見つかった場合には、長期の生存が十分に期待できることが分かってきました。特に、さらに早い段階である「上皮内がん(がんが膵管の中だけにとどまっている状態)」で診断できれば、医学的な見通しは大きく改善します。
Q: なぜ小さな膵がんは見つかりにくいのですか?何が診断のきっかけですか?
大きさが1cm以内の膵がんの多くは、
• 自覚症状がほとんどありません
• 血液検査で調べる腫瘍マーカー(CEAやCA19-9)が上昇しないことが多い
という特徴があります。
そのため、症状や血液検査だけでは早期発見が難しく、画像診断による「わずかな変化」を見逃さないことが重要になります。
膵がんは「膵管」や「膵臓の形の変化」から気づかれることがあります。
膵がんの多くは、膵液(消化液)が流れる細い管=膵管(直径2~3mm)やその近くに発生します(図1)。そのため、がんそのものが小さくても、
• 膵管が途中で細くなる(狭窄)
• 狭窄の手前で膵管が拡張する
• 膵液がたまって袋状になる「膵のう胞」が増える
といった間接的な変化が、健診や人間ドックの検査で見つかることがあります。

図1:早期の膵臓癌のイメージ
また、CTで「限局的な膵萎縮」を指摘された場合も要注意です。
近年、CT検査で指摘される「限局的な膵萎縮」が、早期の膵がんや上皮内がんの重要なサインであることが分かってきました。限局的な膵萎縮とは、膵臓全体ではなく、一部分だけがやせ細ったように見える状態を指します。
これは、
• 膵管ががんによって狭くなり
• その先の膵臓に膵液が流れなくなる
ことで起こるとされており、腫瘤(かたまり)がなくても、がんが隠れている可能性があります。
そのため、
• CTで「膵臓の一部が痩せている」と言われた
• 「年齢のせい」「体質」と説明された
場合でも、膵がんを疑った精密検査が重要です。従来の検査だけでは見逃されることがあります。
これまでの膵がん診断では、
• 腹部超音波検査(US)
• 造影CT検査
で腫瘤(かたまり)を見つけてから精密検査を行う方法が一般的でした。しかし、1cm以下の膵がんでは、腫瘍そのものがUSやCTで確認できないことも多いことが分かっています。
超音波内視鏡(EUS)が早期診断の鍵です。EUSは、内視鏡の先端に超音波装置が付いており、胃や十二指腸の内側から膵臓を至近距離で詳しく観察できる検査です(図2ab)。

図2a:EUSの構造
(画像提供:オリンパスマーケティング株式会社)

図2b:EUS観測装置
(画像提供:キヤノンメディカルシステムズ株式会社)
この検査では、
• 小さな腫瘤
• 膵管周囲のわずかな変化
を高い精度で捉えることができ、1cm以下の膵がんでも、85%以上で異常が確認されると報告されています(すべての膵がんが必ず見つかるわけではありません)。
そのため、
• USで膵管拡張を指摘された
• 膵のう胞があると言われた
• CTで限局的な膵萎縮を指摘された
といった場合には、症状がなくてもEUSによる精査を受けることが強く勧められます。近年、EUSの画質は急速に向上しており、CTやMRIで捉えられない細かな異常を捉えることができます。
Q: がんかどうかはどのように確定するのですか?
EUSで「腫瘤(かたまり)」が見つかった場合には、EUSガイド下穿刺吸引法(EUS-FNA)により、細い針で細胞を採取し、がんかどうかを詳しく調べます。腫瘤が見えないほど早期の場合でも、
• MRCP(MRIによる膵管検査)
• 内視鏡的逆行性膵胆管造影(ERCP)
を行い、必要に応じて専門医の判断で、膵管に細いチューブを留置し、複数回の膵液細胞診を行うことで、早期の膵がんが診断されることがあります(図3abc)。

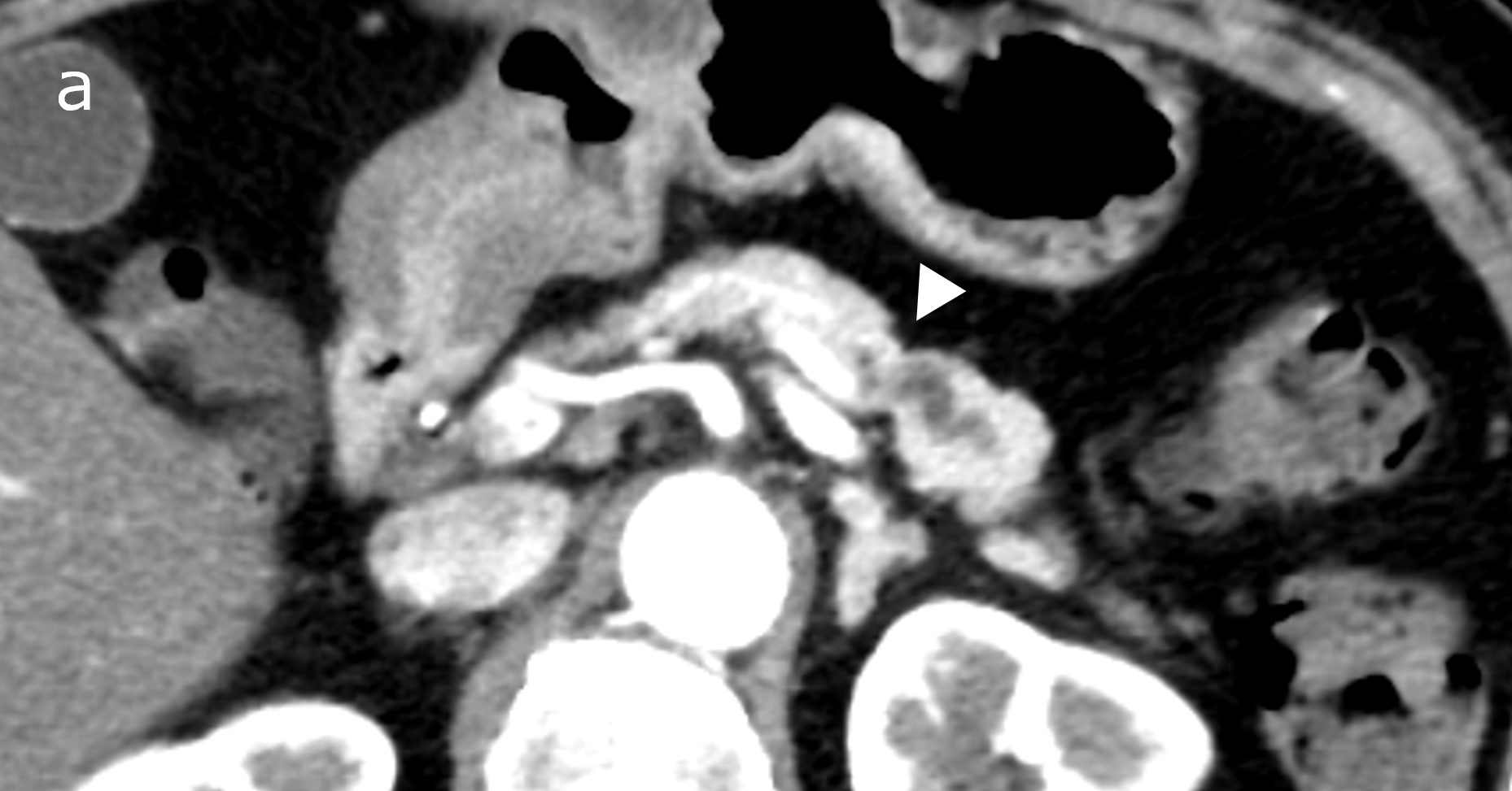
図3(a):CT(a)では、白矢印の部分に膵の萎縮を認める。

図3(b):MRI(MRCP)(b)では膵尾部の主膵管が白矢印の部位から拡張している。

図3(c):EUS(c)では、主膵管の拡張がはじまる部位の周囲に淡い低エコー領域(白矢印)を認める。以上から、強く早期の膵癌を疑い、複数回の膵液細胞診を行い腺癌と診断、手術ののち膵上皮内癌と最終診断された。
無症状でも、こんな指摘があれば専門医に相談を。
• 健診や人間ドックで「膵管が太い」「膵のう胞がある」と言われた
• CTで「膵臓の一部が痩せている」と指摘された
• 糖尿病が新たに見つかった、または急に悪化した
• 家族に膵がんの方がいる
このような場合には、「症状がないから大丈夫」と自己判断せず、かかりつけの先生や、がん診療連携拠点病院など膵臓の専門検査が可能な医療機関にご相談ください。
まとめ:膵がんは「小さなサイン」を見逃さないことが大切です。
膵がんは難しい病気ですが、
・膵管のわずかな変化
・膵のう胞
・CTでの限局的な膵萎縮
といった初期のサインに注目し、必要な方にEUSなどの精密検査を行うことで、治療可能な段階で見つかる時代になってきました。「小さな変化を見逃さないこと」それが、膵がんから命を守る第一歩です。早期発見は、特別な人だけのものではなく、正しい情報を知ることで誰にでも近づける目標です。
JA尾道総合病院 消化器内科
花田 敬士
(2018年7月4日掲載、2026年1月23日更新)